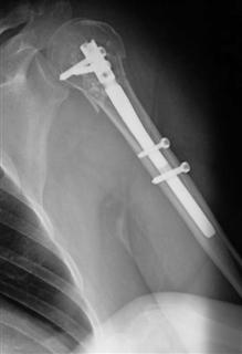
Лечение внутрисуставных переломов плечевой кости и костей предплечья представляет непростую задачу. Травмы верхней трети плечевой кости происходят в результате падения на вытянутую руку, вывихов и переломовывихов в плечевом суставе. Такие переломы обычно включают раскалывание головки плеча на несколько фрагментов и смещение костных отломков в области хирургической шейки плечевой кости.
Рис.1. Пациентка, 58 лет. Закрытый перелом хирургической шейки левой плечевой кости со смещением костных отломков.
Оснащение Главного военного клинического госпиталя имени академика Н.Н. Бурденко позволяет диагностировать подобные травмы. а также, при использовании компьютерной томографии, осуществлять предоперационное планирование с предложением хирургических вмешательств различного объема и сложности. Наличие в госпитале трехмерной компьютерной томографии позволяет диагностировать скрытые переломы, избежать ошибок. Современные методы лечения, такие как, накостный остеосинтез пластинами, интрамедуллярный остеосинтез при внесуставных и внутрисуставных метаэпифизарных переломах плечевой кости позволяет осуществить раннюю активизацию пострадавшего и сократить сроки восстановительного периода. Выбор металлоконструкций позволяет обойтись без иммобилизации конечности и начать реабилитацию уже на следующий день после операции. Это особенно актуально для пациентов, ведущих активный образ жизни и пострадавших молодого возраста.
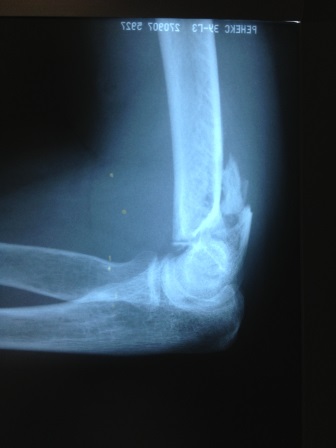
Особую сложность представляют внутрисуставные и внесуставные переломы плечевой кости в области локтевого сустава в виду сложной биомеханики сустава и близости расположения сосудисто-нервных пучков. Подобные травмы происходят в результате падения на согнутую в локтевом суставе руку. Высок риск развития посттравматического артроза в долгосрочной перспективе.
Рис. 3. Пациентка, 52 года. Закрытый внутрисуставной оскольчатый перелом нижней трети правой плечевой кости со смещением костных отломков. Закрытый внутрисуставной перелом локтевого отростка правой локтевой кости со смещением костных отломков.
Только точная репозиция отломков позволяет восстановить суставные поверхности. Восстановление суставных поверхностей является самой главной задачей при лечении подобных переломов. То, как сустав и вся рука будут функционировать в дальнейшем, зависит от успешного выполнения данной задачи. Эти травмы чрезвычайно сложны для лечения.
Рис. 4. Пациентка, 52 года. Нижняя треть правой плечевой кости, фиксированная пластинами и винтами. Локтевой отросток правой локтевой кости, фиксированный спицами Киршнера и проволокой по Веберу.
Для лечения подобных травм в госпитале Бурденко применяют остеосинтез пластинами, интрамедуллярный остеосинтез. В сложных случаях, в том числе при сочетанной травме и политравме, используется аппараты внешней фиксации, внеочаговый чрескостный остеосинтез по Илизарову в остром периоде с последующим накостным или внутрикостным остеосинтезом (по показаниям).
Все операции остеосинтеза костей конечностей выполняются с использованием новейшего оборудования, под контролем операционного рентген-аппарата (С-дуги, электронно-оптического преобразователя, ЭОП), что значительно увеличивает точность репозиции суставных поверхностей при минимальном объеме хирургического вмешательства.
10 лет после 2-х операций на позвоночнике в одной семье: 04.02.2015г. – прооперирован Будяк В.В., 1963г.р., п/п-к запаса, г. Ростов-на-Дону (операция на поясничном отделе позвоночника). 24.06.2015г. – прооперирована супруга Будяк Н.В., 1963г.р. (операция на шейном отделе позвоночника). (подробнее см. отзывы от 19.04.2015г., от 04.02.2017г.). Как и 5 лет назад (отзыв от 21.06.2020г.), по прошествии 10 лет установленные металлоконструкции на месте, работают. Выражаем ОГРОМНУЮ семейную Благодарность хирургам: КОЗЛОВУ Г. Н., ЛАПИНУ В. И., АРТЮШИНУ И. В., а также ВСЕМУ КОЛЛЕКТИВУ 64-го ОТДЕЛЕНИЯ! Поздравляем Профессионалов с Большой буквы с Днем Медицинского Работника!!!
Сердечно поздравляю профессиональным праздником замечательный коллектив 8 хирургического отделения- академика Коновалова Александра Николаевича, лучшего в мире гениального нейрохирурга, Вы — первый после Бога для нас, его команду- талантливейших профессионалов с золотыми руками и чуткими сердцами — Андреева Дмитрия Николаевича и Иванова Владислава Вадимовича, которые в декабре 2024 г спасли мою дочь Клюеву Диану, вернули её практически с того света. Низкий поклон вам и огромное спасибо. Выражаю огромную благодарность всем медсестрам и нянечкам за вашу доброту, чуткость и внимание. А также хочу выразить огромные слова благодарности нашему лечащему врачу Галкину Михаилу Викторовичу - в марте и апреле 2025 года мы проходили лечение в радиологии. Чуткий, заботливый, внимательный, грамотный доктор, которому безгранично доверяешь.... Спасибо вам огромное, замечательные доктора и нижайший поклон. Здоровья вам, счастья и терпения в вашем благородном и нелегком труде. мама Дианы Клюевой, город Псков.
Моё знакомство с командой врачей-профессионалов во главе с Дарьей Александровной произошло правда по счастливой случайности) именно к ней мне посоветовали обратиться с проблемой в колене) изначально думали, что проблема не такая серьезная, как оказалась в итоге. Было проведено большое количество тщательных обследований, на всех этапах Дарья Александровна рассказывала подробно - что и как) после чего с её стороны поступил совет делать операцию. Сложную, с длительным периодом реабилитации, но для меня просто необходимую. Каждая встреча сопровождалась спокойным, добродушным разговором. Сомнений не было - я согласилась! И не пожалела. Отзыв пишу спустя более 2 месяцев после операции) потому что всё прошло хорошо, и, благодаря Дарье Александровне у меня начинается новая, здоровая жизнь. Я очень рекомендую специалиста! Поверьте, вы получите удовольствие) а главное - надежные руки знающего мастера!
Поздравляю всех врачей с наступающим праздником Победы. Где мне заменили два тазобедренных и два коленных сустава. Желаю Вам здоровья, счастья, мирного неба. С уважением подполковник в отставке Кудашев Ш.А.
Я, П/П-К запаса, участник боевых действий проходил курс лечения, после оперативного вмешательства, в16 гнойном отделении. хочу выразить благодарность всему мед.персоналу и лечащим врачам и особенно начальнику отделения п/пку мед службы Радивилову Б.Б. и моему лечащему врачу Татьяне Алексеевной. Такое впечатление ,что я был на санаторно-курортном лечении. Всюду чуткое. профессиональное отношение к нам, чистота и порядок. я еще больше возгордился госпиталем им.Бурденко и посвятил стих врачам. ПОСВЯЩЕНИЕ ВРАЧАМ ЛЮДИ В БЕЛЫХ ХАЛАТАХ, МЫ БЛАГОДАРНЫ ВСЕМ ВАМ! НЕ В «ДЕНЬГАХ» ВАШЕ СЧАСТЬЕ, А В ЗДОРОВЬЕ « ПОДАРЕННОМ» НАМ! МЫ ПРЕКЛОНЯЕМСЯ ПРЕД ВАМИ КАЖДЫЙ ДЕНЬ, И КАЖДЫЙ ЧАС. ВЫ КОНЕЧНО НЕ БОГИ С «РОЖДЕНЬЯ», НО «БОГИ» В ДУШЕ ВЫ ДЛЯ НАС! ВЫ ВОЗВРАЩАЕТЕ. НАС К ЖИЗНИ, ЧУДЕСА «ТВОРЯ» КАЖДЫЙ РАЗ! БЕЗ ВАС МЫ СЕБЯ НЕ МЫСЛИМ, ВЫ С НАМИ РЯДОМ, В ТРУДНЫЙ ЧАС! ВАШИ « ЗОЛОТЫЕ РУКИ», МЫ БУДЕМ ПОМНИТЬ ВСЕГДА. ХРАНИ ВАС БОГ. И ДАЙ ЗДОРОВЬЯ. УДАЧИ, РАДОСТИ, ДОБРА! 24.04.2025г.
В январе 2025 года на заключительном дне учебно тренировочного сбора моя воспитанница (член сборной команды России по универсальному бою и самбо) получила травму колена. К большому сожалению МРТ исследование выявило разрыв передней крестообразной связки. В этот момент настало отчаяние и опустошенность ведь под угрозой срыва не только финальная часть сезона но и карьера спортсменки в целом. 7 января в день Рождества Христова мы связались с Найдой Дарьей Александровной и в этот же день она дала обратную связь. Придя к ней на консультацию я сразу понял что она не только мастер своего и высококвалифицированный специалист но и человек большой души ! К сожалению в нынешнее людей в белом халате много а тех кого можно гордо называть ВРАЧ единицы. Дарья Александровна врач от Бога !!! 14 января операция прошла успешно !!! Сейчас во всю проходим реабилитацию и смотрим с высоко поднятой головой в будущее !!! Спасибо большое Дарье Александровне за ее труды и отношение !!!
Хочу выразить огромную благодарность Дарье Александровне Найде! Это врач от Бога! С первых минут общения чувствуется её профессионализм, внимательность и невероятная доброта. Дарья Александровна не просто выслушала мои жалобы, а действительно вникла в проблему, задавала уточняющие вопросы, чтобы составить полную картину. Её подход к лечению комплексный и, что очень важно, индивидуальный. Она не назначает кучу бесполезных анализов и лекарств, а выбирает оптимальный и эффективный путь решения проблемы. Благодаря её профессионализму и чуткости, я быстро пошла на поправку. Я невероятно рада, что попала именно к такому замечательному врачу! Дарья Александровна – это не только высококвалифицированный специалист, но и прекрасный человек, который излучает спокойствие и уверенность, что вселяет надежду и оптимизм. Рекомендую её всем, кто нуждается в помощи квалифицированного и заботливого врача! Огромное спасибо Вам, Дарья Александровна, за Ваше внимание, профессионализм и чуткое отношение к пациентам!
Найда Дарья Александровна - лучший целитель России! Операция была выполнена 16.10.2024г по артроскопии мениска правого колена. И его не удалили как это делают в частный клиниках за большие деньги, хотя это гораздо проще чем артроскопия! Через 3 недели я уже бегал в медленном темпе. Через 1,5 месяца начал аккуратно закачивать ноги (присед, становая, выпады). Все благодаря личному составу врачей и обслуживающего персонала! Целые сутки после операции мое колено обкладывали бутылками со льдом. Ни одна бутылка не успевала растаять, как уже меняли на свежие.
Високосный, 2024 год, завершился для меня не совсем удачно. 25 декабря поскользнулся и сильно травмировал левое плечо. Рентгенография плечевого сустава перелома не выявила. По заключению обследования УЗИ: частичное повреждение сухожилий надостной и подостной мышц, частичный разрыв длинной головки бицепса. На тот момент у меня не было только заключения МРТ. Направление на МРТ в госпиталь Мандрыка от лечащего врача-травматолога в прикрепленной клинике (КДЦ ГШ ВС РФ) я получил, но запись на МРТ у меня была только на 26 марта с.г., а это ждать еще больше двух месяцев… Набрался смелости и написал свою очередную проблему на Ватсапп Дарье Александровне! Все дело в том, что полтора года назад, в августе 2023 года Дарья Александровна уже проводила мне артроскопию плечевого сустава, только правого. За что я ей премного благодарен!!! Тогда всё было проведено на высшем уровне, профессионально и безукоризненно. Рука восстановилась полностью. Несмотря на высокую загруженность поступающими пациентами в травматологическое отделение, Дарья Александровна не заставила меня долго ждать и сразу ответила, объяснив, что УЗИ дает мало информации и необходимо обязательно обследование МРТ. Что собственно я и сделал платно, т.к. с операцией затягивать было нельзя. В ходе консультации 27 января и просмотра диска с результатами МРТ вердикт Дарьи Александровны был однозначным: госпитализация и оперативное лечение в плановом порядке левого плечевого сустава. 11-го февраля я был госпитализирован, а уже на следующий день, с учетом того, что результаты анализов были у меня «на руках», 12-го февраля, была назначена и проведена операция. Выражаю огромную благодарность Дарье Александровне и всей её замечательной и профессиональной команде: врачам (Каримову Ханлару Багларовичу, в последствии – моему лечащему врачу), реабилитологу Юлии Александровне, медсестрам и санитаркам 55-го травматологического отделения за профессионализм, внимательность, чуткость и отзывчивость! После операции чувствую себя хорошо, через две недели швы на плече будут сняты. Надеюсь, что вращательные и двигательные функции левого плечевого сустава постепенно восстановятся и войдут в норму. Еще раз большое всем спасибо!!! С уважением, Кукушкин Александр Анатольевич
Дарья Александровна не только профессионал своего дела, но и человек с большой буквы и большим сердцем ❤ Насколько чувствуется подход к работе, к пациентам. У меня была старая спортивная травма колена, но не в Новосибирске, не в Алтайском крае не могли до конца правильно поставить диагноз. Предлагали оперативные методы лечения с длительной реабилитацией. В декабре чудом попала в руки Дарьи Александровны. Мне полностью рассказали причины, сделали ряд анализов и назначили операцию уже на март 2024. Операция прошла отлично, с минимальным вмешательством на колено. На следующий день уже встала на ноги. Персонал больницы, медсестры настолько душевный и внимательный: помогали учиться ходить на костылях и делать перевязки. В Новосибирске хирург сказал: что у меня одни из аккуратных швов что он видел. Спустя 9 месяцев после операции колено полностью функционирует, могу бегать и прыгать, вернулась мышца, рубцов практически не видно Огромное вам спасибо от всей души, что ставите людей на ноги! Теперь я могу жить полной жизнью без боли в коленном суставе!
Поздравляю коллектив клинического Центра травматологии и ортопедии с Новым годом! Желаю новых успехов в лечебной работе и по-прежнему занимать передовые позиции в рейтинге лучших отечественных и зарубежных травматологических центров и клиник.
К этому и стремится врачебно-сестринский персонал отделений Центра. Возглавляет его доктор медицинских наук, полковник мс Брижань Леонид Карлович - безупречный профессионал, преданный своей профессии травматолог – ортопед, грамотный руководитель. В Центре создана и работает единая профессионально-компетентная команда травматологов ортопедов, выполняются операции высокой сложности на уровне лучших мировых и отечественных стандартов с использованием самых современных технологий, разрабатываются новые концепции специализированного лечения травматологических больных. Военные травматологи центра имеют подготовку и готовы к организации и оказанию травматологической помощи и в военное время с учётом количественных и качественных характеристик современных боевых травм костно-суставной системы. (и при одномоментных массовых поступлениях раненых, пострадавших).
Учитывая специфику и диапазон задач, стоящих, перед военными травматологами, по оказанию травматологической помощи, по подготовке кадров, эти задачи, приобретают значение большой государственной важности. Ещё раз с Новым годом, крепкого здоровья всем, счастья.
Полковник м/с в отст. Коновалов В.А.
Конт. тел. 8(903)7876744
Оставить отзыв
Обратите внимание, все поля обязательны для заполнения.
Записаться на консультацию
* — поля обязательные для заполнения.
Спасибо!
Ваш отзыв успешно отправлен. Он появится на сайте сразу после проверки модератором. Спасибо за доверие к нашей клинике.
Козлов Григорий Николаевич
64 отделение хирургии позвоночника
Заведующий отделением.
Кандидат медико-технических наук, врач высшей категории. С 1988 года занимается проблемой хирургического лечения заболеваний и травм позвоночника. Имеет более 50 научных статей. Активно участвует в национальных и международных научно-практических конференциях, конгрессах и съездах, посвященных хирургическому лечению больных с различной патологией позвоночника.