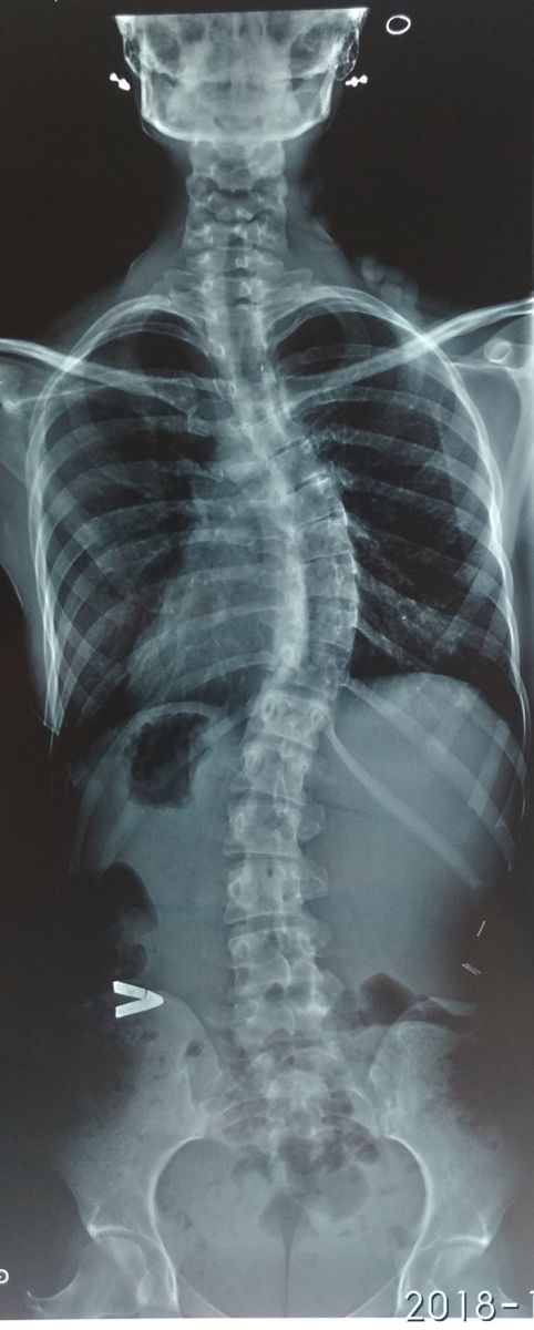
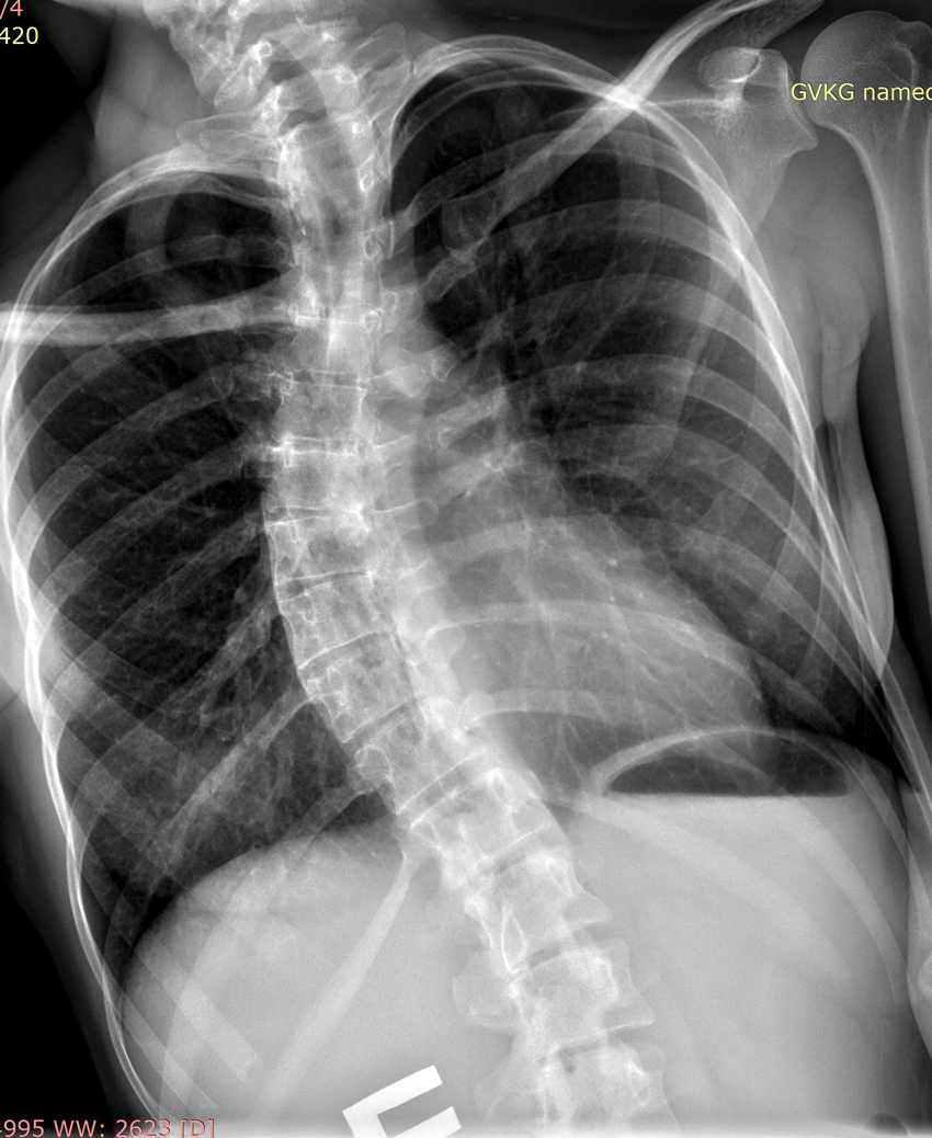
Сколиоз — заболевание, при котором наблюдается боковое искривление позвоночного столба. В основном он поражает детей, но иногда встречается у взрослых.
Деформация позвоночника изменяет расположение ребер, приводит к перемещению находящихся вблизи органов (сердца, легких), нарушает их функционирование, ухудшает качество жизни.
Высококачественные услуги по лечению сколиоза в Москве предлагает центр травматологии и ортопедии имени ак. Н.Н. Бурденко.
Виды патологии
В зависимости от локализации изгиба различают сколиоз грудной, поясничный и смешанный, а также левосторонний и правосторонний. По форме искривление бывает С-образным, S-образным, Z-образным.
В зависимости от угла деформации различают 4 степени патологии:
- первая — менее 10°;
- вторая — 10-19°;
- третья — 20-39°;
- четвертая — более 40°.
Причины и симптомы
Основная причина деформации позвоночника у детей — неправильная осанка. У взрослых спровоцировать развитие патологии способны заболевания опорно-двигательного аппарата, травмы спины, операции на позвоночнике.
На начальной стадии характерным признаком болезни служат асимметричность тела и низко опущенные плечи. По мере прогрессирования болезни изменяется походка, наблюдается быстрая усталость при ходьбе, образуется горб, нарушается функционирование сердечно-сосудистой, легочной, пищеварительной системы, появляются боли в спине, покалывание и онемение в конечностях.
У детей позвоночный столб гибкий, легко поддается коррекции. Лечение сколиоза у взрослых значительно усложняется, так как у них прекращается рост костей, полностью формируется позвоночник.
Диагностика
Чтобы определить тип и степень искривления, врач проводит специальные тесты.
Затем он направляет пациента на диагностику:
- сколиометрию;
- рентгенографию;
- спирометрию;
- ультразвуковое исследование межпозвоночных дисков;
- компьютерную или магнитно-резонансную томографию.
При необходимости ортопед порекомендует пациенту проконсультироваться с кардиологом или пульмонологом.
Методы терапии
При 1-2 степени искривления лечат патологию консервативными методами. При 3-4 степени необходимо хирургическое вмешательство.
Консервативное лечение включает:
- прием медикаментов для устранения симптоматики;
- мануальную терапию;
- лечебную гимнастику;
- физиотерапевтические процедуры;
- корсетотерапию.
Во время оперативного вмешательства устанавливают особые металлические конструкции, которые фиксируют позвоночник под нужным углом. Известно несколько типов операции, которые различаются методикой проведения.
Детям ставят подвижные металлоконструкции, а взрослым — неподвижные, цена которых значительно ниже. Корригирующие системы вживляют под общим наркозом.
Длительность процедуры — 2-3 часа.
При сильно запущенной болезни не удастся достичь полного выздоровления, но операция вернет трудоспособность, улучшит качество жизни.
Стоимость лечения зависит от запущенности патологии, используемой металлоконструкции, квалификации хирурга.
Показания к операции
Хирургическое лечение сколиоза рекомендовано при:
- прогрессирующей деформации позвоночника 3-4 степени;
- сильных болях;
- выраженном ограничении подвижности;
- сращении ребер;
- нарушении функционирования внутренних органов.
Наши преимущества
Внутри позвоночника располагается спинной мозг, из-за чего любая ошибка врача может вызвать непоправимые осложнения, привести к инвалидности. Поэтому обращаться нужно только в проверенные, хорошо зарекомендовавшие себя медицинские центры.
Клиника лечения сколиоза имени Бурденко имеет 4 операционных, оснащенных современным оборудованием последнего поколения. У нас практикуют квалифицированные специалисты с многолетним опытом, которые обладают обширными знаниями и профессиональным мастерством. Они выполняют все манипуляции с ювелирной точностью, что гарантирует получение ожидаемого результата, исключает риск ошибок. Хирурги применяют малоинвазивные эндоскопические методики, позволяющие свести к минимуму травмирование организма и ускорить восстановление.
Чтобы записаться на прием, позвоните по телефонам, указанным на сайте клиники.
Стоимость лечения
Смотрите также:
Дегенеративно-дистрофические заболевания
Операция по удалению грыжи позвоночника
ВОПРОС-ОТВЕТ
Здравствуйте, что нужно с собой взять на первый прием ко врачу?
Добрый день! Медицинскую документацию (результаты обследований, консультаций, выписные эпикризы) , рентгеновские снимки.
С уважением, специалисты Центра.
При какой стадии сколиоза применяется корсетотерапия?
Добрый день, Ольга! При 2-3 стадии.
С уважением, Сливков Константин Анатольевич.
