Центр Травматологии и Ортопедии Главного военного клинического госпиталя им. Н.Н. Бурденко – это история длиной в 300 лет. На сегодняшний день этот флагман отечественной медицины по праву носит звание крупнейшего многопрофильного лечебного центра страны. Эксперты госпиталя бережно передают каждому новому поколению медиков героические традиции, сформировавшиеся ещё военными врачами, сохраняя тем самым высокий профессиональный уровень и научный потенциал врачебного состава.
Специалисты Центра Травматологии и Ортопедии Главного военного клинического госпиталя являются опытными экспертами в сфере специализированной медицинской помощи пострадавшим, раненым и больным. В штате госпиталя работают двое докторов медицинских наук и шесть кандидатов медицинских наук. Также все врачи имеют высшую квалификацию и являются заслуженными работниками здравоохранения РФ и членами международных травматологических и ортопедических обществ мира.
Центр Травматологии и Ортопедии Главного военного клинического госпиталя им. Н.Н. Бурденко оказывает помощь не только представителям Министерства Обороны, но и рядовым гражданам, имеющим полис Обязательного Медицинского Страхования. Центр предоставляет полный комплекс услуг лечения, в том числе реабилитационные мероприятия.
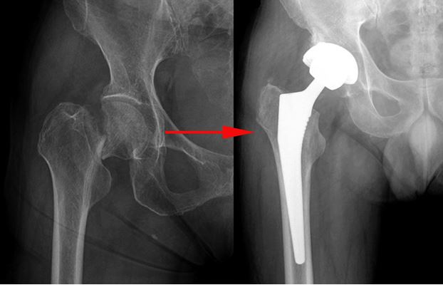
Одним из направлений работы госпиталя является лечение перелома шейки бедра. Это одна из самых тяжёлых травм, которая может произойти вследствие падения с высоты собственного роста, при ДТП и других обстоятельствах. Иногда перелом случается у людей с ослабленной костью без какой-либо значимой травмы. Чаще всего подобному виду травм подвержены люди пожилого возраста. Однако перелом шейки бедра может случиться и в молодом возрасте.
Симптомы перелома шейки бедра:
- резкая боль в тазобедренном суставе после падения или чрезмерной физической нагрузки;
- выворот стопы наружу и укорочение поврежденной ноги;
- симптом «прилипшей пятки», когда больной не может поднять и удерживать ее в выпрямленном состоянии;
- появление хруста при попытке повернуть поврежденную ногу;
- невозможность опираться на больную ногу;
- появление болезненных ощущений при «осевой нагрузки» – постукивании кулаком по пятке.
Если после травмы вы обнаружили один из вышеперечисленных симптомов, то незамедлительно обратитесь к врачу. Своевременная помощь при переломах увеличит шансы сохранить привычный образ жизни.
Главная проблема заключается в том, что перелом шейки бедра практически никогда не срастается. Вдоль шейки бедренной кости располагается множество мелких артерий, которые при травме обрываются. Кровообращение в этой зоне нарушается, из-за чего головка тазобедренного сустава постепенно отмирает и рассасывается, а бедренная кость начинает упираться в кости таза, вызывая сильную боль при движении. Нередко травма приводит к тому, что больной оказывается прикованным к постели, что грозит смертью от осложнений (пневмония, тромбоэмболия, пролежни и т.п.) в течение нескольких месяцев.
Чтобы избежать такого трагического исхода необходимо как можно быстрее после травмы «поставить больного на ноги». На помощь приходит такой метод хирургического лечения, как эндопротезирование тазобедренного сустава. Данная процедура представляет собой замену поврежденного сустава искусственным имплантом. Операция позволяет пациенту избежать инвалидности, вернув способность передвижения.
Следует подчеркнуть, что чем меньше времени пройдёт с момента травмы до операции, тем ниже риск развития осложнений, поэтому пострадавший быстрее вернётся к привычному образу жизни.
Немаловажным фактором успеха операции является качество эндопротеза. В госпитале им. акад. Н.Н. Бурденко используют только высококачественные долговечные импланты, изготовленные ведущим производителем ортопедического оборудования ZimmerBiomet.
Эндопротезы разделяются по способу фиксации к кости:
- Бесцементный. Имеет пористое покрытие, в которое врастает костная ткань. Рекомендован для молодых пациентов.
- Цементный. Закрепляется в кости полимерным цементом. Рекомендован для пожилых людей и пациентов, страдающих остеопорозом.
- Гибридный. Метод, при котором ножка фиксируется костным цементом, а чашка устанавливается бесцементным способом.
Также эндопротезы различаются по типу пары трения («шарнира»):
- Металл-полиэтилен. Наиболее бюджетный вариант. Подойдет пациентам, которые ведут неактивный образ жизни.
- Керамика-керамика. Самые дорогие, но и самые долговечные импланты. Практически не изнашиваются и абсолютно нетоксичны. Предназначены для людей, занимающихся спортом и другими активными видами деятельности. Однако имеют и существенный недостаток – иногда довольно ощутимо «скрипят».
- Керамика-полиэтилен. Чуть менее долговечные, но более доступные по стоимости. Никогда не «скрипят». Такие протезы, как правило, устанавливают молодым активным людям.
Широкий ассортимент имплантов Zimmer Biomet позволяет подобрать эндопротез с учетом возраста пациента, его физической активности, а также характера и тяжести заболевания или травмы.
Реабилитация после эндопротезирования
С первого дня пациента посещает инструктор ЛФК. Он назначает комплекс физических упражнений. На следующий день после операции больного поднимают с кровати для обучения ходьбе на костылях или «ходунках». Двигательную активность увеличивают постепенно. На костылях больной передвигается в течение 4-5 недель после операции, затем ходит с тростью или без дополнительных средств опоры, в зависимости от общефизического состояния.
Также после операции обязательно вводятся препараты, разжижающие кровь и антибиотики, позволяющие избежать развития осложнений: венозного тромбоза и воспалительного процесса.
В ортопедическом отделении Главного военного клинического госпиталя им. акад. Н.Н. Бурденко вопросами эндопротезирования занимаются уже более 30 лет. Здесь выполняются операции любой категории сложности: от однополюсного эндопротезирования тазобедренного и одномыщелкового до замещения крупных дефектов костей, составляющих тазобедренный и коленный суставы с использованием «мега-протезов». Современное и высококачественное оборудование Zimmer Biomet позволяет получать высокие результаты операций и ставить на ноги даже самых тяжелых больных.
Более подробную информацию об особенностях лечения вы можете уточнить на консультации.
Сотрудничество врачей Центра Травматологии и Ортопедии «Новой Медицины» и «ТелеМед» открывает для пациентов с поражением опорно-двигательного аппарата новые возможности качественной реабилитации, с использованием профессионального высокотехнологичного реабилитационного оборудования.
Новая медицина – это современный подход с использованием инновационных технологий в области медицины. Компания предлагает уникальные услуги по реабилитации на дому, в том числе с использованием телемедицины, аренду высокотехнологического, «умного» реабилитационного оборудования и оказание профессионального ухода за тяжелобольными, маломобильными и пожилыми людьми. Компания объединила лучших специалистов и производителей медицинского оборудования.
ТелеМЕД - это сервис для удаленных консультаций с самыми разными врачами. Он позволяет в любой момент, 24 часа в сутки, когда возникает вопрос о здоровье (вашем или ваших близких) сразу же обратиться к врачу и получить совет и четкий алгоритм действий. По телефону или через интернет, как вам удобней. Это не заменит похода к врачу, но сделает быстрее и легче ваш путь к выздоровлению.
