Центру Травматологии и Ортопедии Главного военного клинического госпиталя им. Н.Н. Бурденко более 300 лет. Он является флагманом военной медицины и крупнейшим отечественным многопрофильным лечебным заведением.
Персонал Центра Травматологии и Ортопедии Главного военного клинического госпиталя им. Н.Н. Бурденко обладает необходимой квалификацией и оборудованием для оказания специализированной медицинской помощи пострадавшим, раненым и больным в условиях военных действий, а также гражданам Российской Федерации. Штат Центра – это эксперты высокого уровня: доктора и кандидаты медицинских наук, международные члены травматологических и ортопедических обществ, заслуженные работники здравоохранения и врачи высшей квалификации.
Специалисты Центра Травматологии и Ортопедии Главного военного клинического госпиталя им. Н.Н. Бурденко предлагают пациентам и раненым с различными травмами и болезнями исчерпывающую медицинскую помощь, включая лечебные и реабилитационные процедуры.
Одним из направлений работы Центра является лечение переломов. Перелом – это полное или частичное нарушение целостности кости под воздействием травмирующей силы, превышающей ее прочность. Наиболее часто встречаются переломы длинных трубчатых костей. К ним относятся: плечевая, кости предплечья, бедренная кость и кости голени (большеберцовая и малоберцовая).
Признаки перелома: выраженная боль, отек, нарушение функции конечности, паталогическая подвижность в зоне перелома, а также крепитация (хруст) костных отломков. При подозрении на перелом необходимо немедленно обратиться за медицинской помощью. От своевременности и качества оказания медицинской помощи зависят сроки дальнейшего восстановления пациента и его возращения к привычной жизни.
Проблема совершенствования хирургического лечения больных с переломами длинных костей конечностей сохраняет свою высокую актуальность. На сегодняшний день основным методом лечения переломов является остеосинтез.
Остеосинтез бывает наружным, при котором для стабилизации переломов используют аппараты внешней фиксации. А также внутренним (погружным), когда используют накостные платины или интрамедуллярные фиксаторы.
В настоящее время в клиническую практику внедрен широкий диапазон погружных конструкций, позволяющих выполнить стабильно-функциональный остеосинтез любого перелома и любой локализации. При этом осуществляются минимальные хирургические доступы без последующего применения гипсовой иммобилизации. Это позволяет приступить к ранней реабилитации пациента и сократить сроки нетрудоспособности.
Переломы плечевой кости
Подразделяются на переломы проксимального и дистального эпифизов (концевых участков кости), а также диафиза (центрального отдела плечевой кости, между двумя эпифизами).
Несколько лет назад при переломах проксимального отдела плечевой кости, так называемой хирургической шейки плеча, использовался метод накостного остеосинтеза – пластина с анатомическим дизайном. Данная операция производится из обширного хирургического доступа, что в послеоперационном периоде требует дополнительного внимания и бережного отношения к ранней реабилитации.
В настоящее время специалисты ЦТиО ГВКГ им. Н.Н. Бурденко выполняют остеосинтез подобных переломов по минимально-инвазивной методике через небольшие проколы, без нарушения целостности капсулы сустава и мышц. Это позволяет достичь функционального результата в более сокращенные сроки.
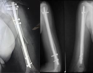
Переломы области диафиза плечевой кости также оперируются по минимально-инвазивной методике с применением интрамедуллярного штифта с блокированием. Различают антеградный (через проксимальный отдел плечевой кости) и ретроградный (через дистальный отдел плечевой кости) остеосинтез. Метод выбора зависит от линии перелома.
Переломы костей предплечья
Предплечье формирует 2 кости: локтевая и лучевая. Предплечье имеет сложную анатомию. В этой области расположился большой спектр анатомических образований (сухожилий, мышц, нервов), способствующих нормальному функционированию всей верхней конечности и кисти. Наиболее часто встречающиеся травмы в области предплечья:
- переломы дистального метаэпифиза лучевой кости;
- переломы лучевой кости в «типичном месте»;
- диафизарные переломы.
Основным методом выбора лечения таких пациентов является внутренний остеосинтез пластинами. При переломах обеих костей предплечья принято выполнять остеосинтез двумя накостными пластинами, что позволяет снизить травмирование мягких тканей. Операцию проводят через два отдельных доступа.
Переломы бедренной кости
Переломы бедренной кости часто сопровождаются массивной кровопотерей, что требует проведения оперативного вмешательства в кратчайшие сроки и с наименьшим повреждением мягких тканей. Отсутствие возможности передвигаться и вынужденный постельный режим чреваты развитием жизнеугрожающих осложнений со стороны органов дыхания, сердечно-сосудистой и пищеварительной систем.
Чаще всего встречаются переломы проксимального отдела бедренной кости: шейка бедра, вертельная области (чрезвертельные и подвертельные), диафизарные переломы и переломы дистального отдела бедренной кости. Больше всего им подвержены пожилые люди. Это связано с наличием остеопороза. В молодом возрасте эти переломы возникают вследствие высокоэнергетической травмы (падение, удар).
В ЦТиО ГВКГ им. Н.Н. Бурденко проводится огромный спектр оперативных вмешательств: от внутреннего остеосинтеза до эндопротезирования тазобедренного сустава. Специалисты центра травматологии и ортопедии способны решить данные проблемы путем применения высокотехнологичной малоинвазивной операции, продолжительностью не более 40 минут.
Доступ к больному участку производится через небольшие разрезы и под контролем рентгеновского аппарата. Методика интрамедуллярного малоинвазивного остеосинтеза позволяет избежать высокой кровопотери. Она также обеспечивает возможность ранней активизации больного, что очень важно у возрастных пациентов. Возраст самого пожилого пациента, прооперированного в ЦТиО ГВКГ им. Н.Н. Бурденко, составил 93 года.
Переломы костей голени
В эту анатомическую область входят: переломы малоберцовой и большеберцовой костей. Они бывают как изолированными, так и комбинированными. Выделяют переломы проксимального и дистального отделов и диафизарные переломы.
В области дистального отдела костей голени следует отдельно выделить переломы наружной и внутренней лодыжек, как наиболее часто встречающиеся переломы. Повреждения в этой области приводят к выраженным функциональным нарушениям, так как гости голени выполняют опорную функцию.
Основным методом лечения этих повреждений является остеосинтез. В зависимости от локализации перелома возможно применение внутреннего остеосинтеза пластинами или интрамедуллярными штифтами.
Одними из первых малоинвазивные методики были разработаны и успешно применены при лечении пострадавших с диафизарными переломами большеберцовой кости. Фиксация отломков большеберцовой кости интрамедуллярным штифтом при локализации переломов в области диафиза – «золотой стандарт» успешно применяемый в ЦТиО.
Ключевым моментом данной операции является не только наличие минимальных по размеру хирургических доступов, но и возможность ранней нагрузки на оперированную ногу. Так интрамедуллярный остеосинтез позволяет вертикализировать пациента уже на вторые сутки после операции, либо значительно облегчает уход за пострадавшим, вынужденно находящимся в лежачем положении.
Также при переломах в данной области в ЦТиО с успехом применяется и накостный остеосинтез, который также представляет собой минимально-инвазивную методику. Во время проведения операции доступ осуществляется из маленьких разрезов, что не нарушает кровоснабжения кости. Это также позволяет сократить сроки восстановительного лечения.
Малоинвазивные методы лечения в умелых руках сотрудников ЦТиО ГВКГ им. Н.Н. Бурденко работают даже там, где, казалось бы, уже всевозможные варианты лечения исчерпаны. Например, при выполнении ортопедических операций по созданию артродеза голеностопного сустава, сросшихся в неправильном положении костей голени после перелома лодыжек.
Также специалисты ЦТиО используют малоинвазивную методику при лечении переломов костей таза.
В ЦТиО успешно применяют малоинвазивную (артроскопическую) резекцию суставного хряща голеностопного сустава, поврежденного вторичным деформирующим артрозом. Методика не является инвалидизирующей, так как ходьба осуществляется за счет компенсаторов мобилизованного переднего и среднего отделов стоп в процессе реабилитационного послеоперационного лечения.
Малоинвазивные методики в травматологии и ортопедии играют немаловажную роль у лиц молодого возраста, особенно, женского пола, для которых важно не только восстановление функции конечностей, но и сохранение косметического эффекта после хирургического вмешательства.
В Центре травматологии и ортопедии госпиталя им. акад. Н.Н. Бурденко вы можете получить квалифицированную консультацию специалистов. Сотрудники ЦТиО предложат вам различные варианты лечения, а также выполнят малоинвазивное хирургическое вмешательство на сегментах конечностей, таза, позвоночника, кисти и стоп.
Полную картину заболевания и выбор метода хирургического лечения можно определить только после полноценного обследования и адекватной консультации. Ранняя диагностика повреждения и вовремя начатое лечение обеспечат более быстрое выздоровление и снизят вероятность развития плачевных последствий.
Более подробную информацию об особенностях лечения вы можете уточнить непосредственно на консультации. Всегда готовый помочь коллектив врачей ЦТиО ГВКГ.
Сотрудничество врачей Центра Травматологии и Ортопедии «Новой Медицины» и «ТелеМед» открывает для пациентов с поражением опорно-двигательного аппарата новые возможности качественной реабилитации, с использованием профессионального высокотехнологичного реабилитационного оборудования.
Новая медицина – это современный подход с использованием инновационных технологий в области медицины. Компания предлагает уникальные услуги по реабилитации на дому, в том числе с использованием телемедицины, аренду высокотехнологического, «умного» реабилитационного оборудования и оказание профессионального ухода за тяжелобольными, маломобильными и пожилыми людьми. Компания объединила лучших специалистов и производителей медицинского оборудования.
ТелеМЕД - это сервис для удаленных консультаций с самыми разными врачами. Он позволяет в любой момент, 24 часа в сутки, когда возникает вопрос о здоровье (вашем или ваших близких) сразу же обратиться к врачу и получить совет и четкий алгоритм действий. По телефону или через интернет, как вам удобней. Это не заменит похода к врачу, но сделает быстрее и легче ваш путь к выздоровлению.
